ホワイトニング

Whitening

このようなお悩みを抱えていませんか?

  • 白い歯を取り戻したい
  • 歯が黄ばんできた
  • コーヒーや紅茶、ワインをよく飲む
  • タバコのヤニ汚れ
  • 忙しくて歯医者に通えない
  • 歯医者のホワイトニングは高くて行けない
  • 口臭が気になる
  • 結婚式や大事なイベントがある

芸能人も通う、今話題のセルフホワイトニング!!
初回のお客様は 1日5名限定3850円⇒2980円

セルフホワイトニングとは?

セルフホワイトニングとは?

セルフホワイトニングとは、お客様自身でホワイトニングができる、今話題の美容法です。歯科などで行う従来のホワイトニングに比べ、「低価格」「短時間」「安心安全」に行えるのが特徴です。 やり方も簡単!ご自身で専用の溶液を塗布し、LEDライトを照射するだけ!時間も1回30分程で終わります。初回の方はスタッフが施術の手順を説明しますのでご安心ください。 歯科とは違い、気軽に通えるセルフホワイトニング!!沖縄ではまだ導入店が少なく、受けたことがない人も多いのではないでしょうか?
ぜひ一度お試しください。

施術の流れ

初回来院時に詳しく説明いたしますので、誰でも簡単に行えます。
施術の流れ

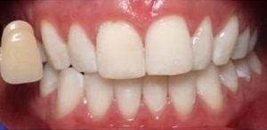
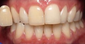
セルフホワイトニングの施術効果

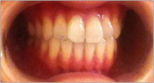
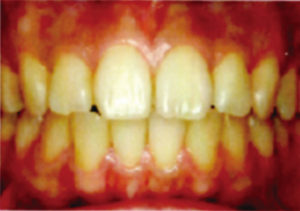
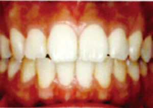
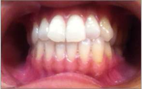
以下の施術例は8分×2回照射(1セット)行なった際の施術前・施術後になります。

※施術結果には個人差があります。

33歳 女性

Before

Before

Before
After

After

After

31歳 女性

Before

Before

Before
After

After

After

24歳 男性

Before

Before

Before
After

After

After

整骨院だからできる格安料金

当院のセルフホワイトニングは整骨院内のスペースを利用し、諸経費を抑えてサービスを提供することができるため、他の歯医者やホワイトニング専門店に比べて、格安でホワイトニングをするができます。また、医療系の国家資格保持者がサポートしていますので、安心してご来院ください。
初回料金(ネット割)
¥2,980
1回通常料金
¥3,850
4回券(3ヶ月有効)
4回通常 ¥15,400⇒¥13,800
(一回あたり¥3,450)
8回券(6ヶ月有効)
8回通常 ¥30,800⇒¥24,160
(一回あたり¥3,020)
他の施術とセット
¥2750
期間限定!今月末まで!
ホームページを見てくれた初回のお客様は、1日5名限定 3,850円⇒2,980円
※表示料金はすべて税込みです。

セルフホワイトニングの紹介動画

当院で取り入れているセルフホワイトニングが多数のテレビやメディアで紹介されています。

RESERVEご予約はこちら

完全予約制となっております。
ご予約はお電話またはLINEよりお願いいたします。

CLINICりんく整骨院

〒904-2236
沖縄県うるま市喜仲1-7-5 コーポKenzo1F
TEL.098-923-2627
定休日:日曜日
受付時間
日祝
9:00~19:00
/
/
/
14:00~19:00
/
/
/
/
/
/
9:00~15:00
/
/
/
/
/